Нарконовости. Про "не таких"

  • Последние ответы
  • Новые темы

Горожанка

Азм езмь царь!
Команда форума
Регистрация
16 Окт 2023
Сообщения
3.493
Реакции
3.297

Горожанка

Азм езмь царь!
Команда форума
Регистрация
16 Окт 2023
Сообщения
3.493
Реакции
3.297
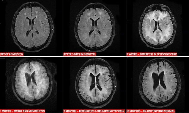
Врачам удалось запечатлеть изменения в головном мозге наркомана, употребляющего ПАВ
Посмотреть вложение 30931

Посмотреть вложение 30932
Посмотреть вложение 30933

Посмотреть вложение 30935
Вот точно такие у нас в анатомичке на столе лежали. Пинцетом запрещали прикасаться, он как желе повреждается.
Мда, неприятное зрелище, наверное ещё и воняет специфически
 

Горожанка

Азм езмь царь!
Команда форума
Регистрация
16 Окт 2023
Сообщения
3.493
Реакции
3.297
03 августа 2024 Сегодня.
Десятки человек держали в заложниках в «элитном рехабе» в Подмосковье

Сотрудники правоохранительных органов во время рейда освободили несколько десятков человек, которые оказались в заложниках в рехабе в Московской области. Над пациентами издевались, морили их голодом и не давали воду за 100 тысяч рублей в месяц.

Как сообщает Telegram-канал SHOT, подмосковные силовики обнаружили, что в местном рехабе, куда обращались люди, страдающие различными зависимостями, пациентов фактически удерживали в заложниках. Стоимость пребывания в центре составляла 100 тысяч рублей в месяц, однако никакого сервиса это не гарантировало.
Один из освободившихся рассказал каналу о деталях пребывания в этом месте. 37-летний житель Тулы оказался в реабилитационном центре после того, как ушел в запой, расставшись с девушкой. Отец захотел ему помочь и поместил в «элитный рехаб», чтобы тот мог избавиться от алкогольной зависимости. В центре пообещали, что на это понадобится три месяца. По словам пациента, рехаб находился в большом коттедже в Мытищах. Вместе с ним там находились около 30 человек. Мужчина провел там порядка девяти месяцев вместо обещанных трех. Его отца убеждали в том, что он еще не готов покинуть стены центра и нуждается в дальнейшем лечении, и родственник продолжал платить по 100 тысяч в месяц.

Не так давно один из пациентов все же смог освободиться из рехаба и сразу же обратился в полицию, попросив спасти заложников. Правоохранители нагрянули в коттедж и освободили порядка 30 пациентов. Те также написали заявления против сотрудников рехаба, рассказав, что их насильно удерживали в центре, закрывали в комнатах, в течение продолжительного времени не давали еду и воду, а также лишали сна. Пациенты пожаловались на физические и моральные издевательства и запрет делиться с родственниками деталями происходящего.
Посмотреть вложение 30936
Сотрудники полиции задержали владельца рехаба Артема и двух работников — 29-летнего Антона и 36-летнего Заура. В настоящее время собственника реабилитационного центра отпустили под подписку.
Вот тебе и чёрные наркологи в мотивашках…
 

Горожанка

Азм езмь царь!
Команда форума
Регистрация
16 Окт 2023
Сообщения
3.493
Реакции
3.297
А зачем ты задаёшь такие вопросы? Чтобы забанить меня за пропаганду?
Не, я не баню. Пытаюсь узнать у тебя зачем ты употребляешь если кайфа нет, значит зависимость никак не можешь побороть? Точнее даже не пытаешься
 

soochara

Азм езмь царь!
Наш человек
Регистрация
19 Фев 2020
Сообщения
1.590
Реакции
723
Не, я не баню. Пытаюсь узнать у тебя зачем ты употребляешь если кайфа нет, значит зависимость никак не можешь побороть? Точнее даже не пытаешься
Банишь не ты, но ты уже жалуешься Сэру чтобы меня забанили. А я не хочу врать и на твои провокации отвечать я тоже нужным не считаю.
 

Горожанка

Азм езмь царь!
Команда форума
Регистрация
16 Окт 2023
Сообщения
3.493
Реакции
3.297
Банишь не ты, но ты уже жалуешься Сэру чтобы меня забанили. А я не хочу врать и на твои провокации отвечать я тоже нужным не считаю.
Да без б, если тебя не банят, значит зачем-то нужен. А тему свою зачем просил снести?
 

soochara

Азм езмь царь!
Наш человек
Регистрация
19 Фев 2020
Сообщения
1.590
Реакции
723
Да без б, если тебя не банят, значит зачем-то нужен. А тему свою зачем просил снести?
Потому что она мне не очень нравится, в ней много вранья, утаивания, клоунады, оскорблений, и личной информации.
 

Сэр

Не спрашивайте как у меня дела
Команда форума
Регистрация
25 Авг 2020
Сообщения
30.432
Реакции
23.829
Банишь не ты, но ты уже жалуешься Сэру чтобы меня забанили. А я не хочу врать и на твои провокации отвечать я тоже нужным не считаю.
Мне вроде никто не жалуется, эйравел сама баннит кого считает нужным
 

Горожанка

Азм езмь царь!
Команда форума
Регистрация
16 Окт 2023
Сообщения
3.493
Реакции
3.297
Потому что она мне не очень нравится, в ней много вранья, утаивания, клоунады, оскорблений, и личной информации.
Так форум анонимный, и ты приходишь сюда поболтать, разве кто-то будет собирать на тебя компромат? Тем более если у тебя всё кул, почему так загонялся за свои прошлые сообщения?
 

soochara

Азм езмь царь!
Наш человек
Регистрация
19 Фев 2020
Сообщения
1.590
Реакции
723
Так форум анонимный, и ты приходишь сюда поболтать, разве кто-то будет собирать на тебя компромат? Тем более если у тебя всё кул, почему так загонялся за свои прошлые сообщения?
Потому что я на нём задеанонен.
Я не за компромат, я не стесняюсь своей истории, но мне бы хотелось чтобы её тут не было.
Загона нет.
 

Горожанка

Азм езмь царь!
Команда форума
Регистрация
16 Окт 2023
Сообщения
3.493
Реакции
3.297
Потому что я на нём задеанонен.
Я не за компромат, я не стесняюсь своей истории, но мне бы хотелось чтобы её тут не было.
Загона нет.
У тебя есть явные недоброжелатели в реальной жизни?
 

Горожанка

Азм езмь царь!
Команда форума
Регистрация
16 Окт 2023
Сообщения
3.493
Реакции
3.297

Иностранец пытался ввезти в Армению наркотики в "вине" и умер, сделав глоток по указке таможенников​

Гражданин Бразилии умер в ереванском аэропорту "Звартноц" после того, как сотрудники таможни попросили его выпить привезённую из-за рубежа жидкость. Об этом рассказало издание Hraparak со ссылкой на правоохранительные органы. Трагический случай сотряс зону прилёта воздушной гавани несколько дней назад.
Так, прилетев в Армению, мужчина нёс в руке неизвестную жидкость. В беседе с таможенниками он заявил, что внутри бутылки — вино.

"Вместо того чтобы проверить содержимое бутылки, таможенники заставили бразильца выпить жидкость, после чего его состояние резко ухудшилось", – говорится в материале издания.

По данным издания, внутри были наркотики. Мужчину экстренно госпитализировали, но он скончался. Возбуждено уголовное дело об убийстве, назначены экспертизы.
 

Горожанка

Азм езмь царь!
Команда форума
Регистрация
16 Окт 2023
Сообщения
3.493
Реакции
3.297

Обманута любимым: В РФ молдаванке дали серьёзный срок за сбыт 60 кило кокаина по просьбе бойфренда​

Гражданку Молдовы и Румынии Маринану Тивалт в Петербурге осудили на 16 лет за продажу 60 килограммов кокаина. Об этом стало известно из сообщений руководителя Объединённой пресс-службы судов Дарья Лебедева. Причём в этом деле не обошлось без любви.

Ещё в 2021 году бойфренд девушки и его друзья предложили ей поработать в Северной столице. Осуждённую отпугнула связь с веществами, но молодой человек уверил, что возьмёт всю вину на себя. С момента задержания и до самого суда Тивалт открещивалась от противоправных действий и говорила, что прибыла в Россию для искусственного оплодотворения. Теперь её ждёт 16 лет колонии общего режима. После вынесения приговора она раскаялась и сказала, что бойфренд её подставил.
 

Горожанка

Азм езмь царь!
Команда форума
Регистрация
16 Окт 2023
Сообщения
3.493
Реакции
3.297

В Испании показали видео, как полиция нашла 4 тонны кокаина в мешках из-под риса​

В Испании полицейские изъяли более четырёх тонн кокаина, который пытались незаконно ввезти через порт Барселоны и другие европейские гавани. Об этом сообщает Reuters со ссылкой на правоохранительные органы испанского королевства.

Уточняется, что центральное подразделение полиции ещё в прошлом году начало расследование в отношении испанской компании, которая перевозила контейнеры с рисом из Парагвая в Барселону. Во время одной из проверок гражданская гвардия обнаружила более четырёх тонн наркотика, который был спрятан среди мешков с рисом. Это оказалось абсолютным рекордом за последний период.

Известно, что в ходе операции были задержаны десять членов банды. В рамках совместного расследования полиция Парагвая перехватила около 3,3 тонны кокаина.
 

Горожанка

Азм езмь царь!
Команда форума
Регистрация
16 Окт 2023
Сообщения
3.493
Реакции
3.297

В Эквадоре нашли более трёх тонн кокаина в направлявшихся в Россию бананах​

В Эквадоре полиция обнаружила более трёх тонн кокаина в бананах, которые направлялись в РФ. Об этом сообщил местный портал Ecuavisa со ссылкой на правоохранителей.

Уточняется, что наркотики обнаружила при досмотре грузовых контейнеров служебная собака. Всего в тайниках было спрятано около трёх тонн в 3190 прямоугольных блоках, завёрнутых в упаковочную ленту. В полиции отметили, что цена такой партии в Эквадоре — около 6,6 миллиона долларов, однако в России она бы составила 254 миллиона. Теперь в деле разбираются правоохранители.